Uznach
Bahnhofstrasse 4, 055 280 20 92
E-Mail
info@zahnarztpraxis-jonasch.ch
Wattwil
Thuraustrasse 8, 071 988 13 19
Unsere Angebote
Bitte zögern Sie nicht uns bei Fragen jederzeit zu kontaktieren.
Untersuch mit automatischem Aufgebot
Regelmässige Zahnkontrollen sind das A und O für den Erhalt der Kaufähigkeit. Durch die Aufnahme in unser Recall-System, müssen Sie sich nicht selbst an die Jahreskontrollen erinnern. Auf Ihren Wunsch werden wir Sie im festgelegten Zeitabstand frühzeitig an die nächste Kontrolle erinnern.
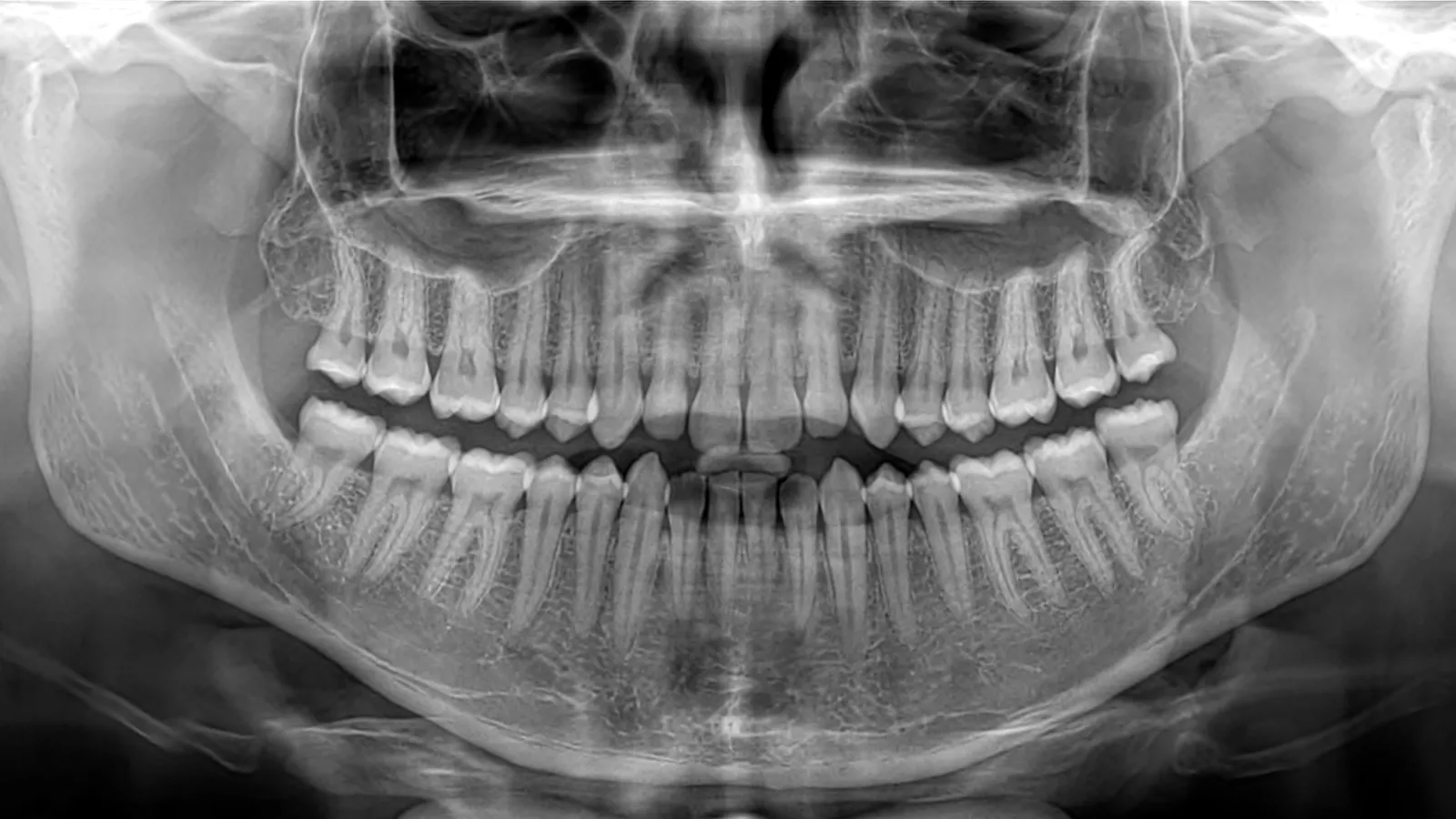
Digitale Röntgentechnik, Panoramaaufnahme und Fernröntgen
Seit vielen Jahren setzen wir in unserer Praxis auf die digitale Röntgentechnik. Wir verfügen auch über die Geräte zur Erstellung von Kieferübersichtsaufnahmen (OPT) und Fernröntgenaufnahmen (FR) für die Beurteilung des Kieferwachstums in der Kieferorthopädie
Digitale Abdrucknahme (3D-Scanner)
Die allermeisten Kieferabformungen lassen sich heutzutage durch einen digitalen 3D-Scan ersetzen. Dies macht die Abformung im Vergleich zu der früheren Methode mit einer Abfrommasse viel angenehmer, da auch ein starker Brechreiz kein Hindernis mehr darstellt. Durch die vereinfachte digitale Bearbeitung können so auch die Kosten reduziert werden.
Zahnreinigung und Prophylaxe
Eine regelmässige Zahnreinigung ist ein wichtiger Schritt für den Erhalt einer guten Mundgesundheit. Unsere Prophylaxe-Assistentinnen zeigen Ihnen auch gerne wie Sie selbst die Mundhygiene zu Hause erhalten können.
Zähne bleichen / bleaching
In-Office bleaching
Bewundern Sie Ihre weissen Zähne schon nach einer Sitzung! Durch eine mit Licht beschleunigte Zahnaufhellung können Sie unsere Praxis schon nach 60-90 Minuten mit weisseren Zähnen verlassen und profitieren dank eines Kombinationsrabattes von einer kostenlosen Zahnreinigung durch eine Prophylaxeassistentin.
At-home-bleaching
Gerne fertigen wir für Sie eine auf Sie angepasste Schiene her, damit Sie die Zähne bequem bei sich zu Hause bleichen können
Parodontologie
Die Parodontologie befasst sich mit der Parodontitis (früher Parodontose), der Erkrankung des Zahnhalteapparates. Diese kann unterschiedliche Ursachen haben, führt aber unbehandelt zu Zahnfleischschwund, lockeren Zähnen und Zahnverlust. Entscheidend ist eine frühzeitige Erkennung und Diagnosestellung, eine passende Therapie mit regelmässigen Kontrollen um ein Fortschreiten zu verhindern.
Füllungstherapie
Kleinere Karies und Defekte werden meistens mittels weisser Komposit-Füllungen behandelt. Wir setzten hier auf die neusten Materialien, um ein bestmöglich langhaltendes und ästhetisches Resultat zu erzielen.
Endodontologie / Wurzelbehandlungen
Zahnschmerzen werden in vielen Fällen durch eine Entzündung oder das Absterben des Zahnnervs verursacht. In diesen Fällen ist eine Wurzelbehandlung oft unumgänglich. Hierbei wird der entzündete oder abgestorbene Nerv entfernt und die Hohlräume werden verschlossen um eine erneute Besiedelung durch Bakterien zu verhindern.
Kronen / Brücken / Veneers
Kronen
Bei grossen Defekten lässt sich ein Zahn oft nicht mehr mit einer einfachen Kunststoff-Füllung reparieren und der Zahn muss mit einer Krone versorgt werden. Bei einer Krone wird verbleibende Teil des Zahnes von einer Keramik-Haube umschlossen. So kann die Ästhetik und Kaufunktion eines schwer beschädigten Zahnes mit einer langlebigen Versorgung wiederhergestellt werden.
Brücken
Fehlende Zähne können in vielen Fällen mittels einer Keramikbrücke ersetzt werden. Zwei verbundene Kronen auf zwei Pfeilerzähnen können ohne chirurgischen Eingriff den fehlenden ergänzen.
Veneers
Veneers sind Keramikschalen, welche von aussen auf den Zahn befestigt werden. Dadurch lassen sich bei den Zähnen Form, Farbe und auch leichte Fehlstellungen korrigieren.
Chirurgie
Wir bieten in unserer Praxis auch chirurgische Behandlungen an, darunter:
- Zahnentfernung
- Wurzelspitzenresektionen
- Abszessbehandlungen
- Parodontalchirurgie
- Implantologie
Implantat-Versorgungen
In vielen Fällen können fehlende Zähne nur mit Implantaten ersetzt werden. Ein Implantat ist eine Titan-Schraube, welche anstatt der kaputten Zahnwurzel im Knochen als Verankerung für eine Keramikkrone dient. Mit Implantaten können auch mehrere Zähne oder sogar die Zahnreihe eines gesamten Kiefers wiederhergestellt werden.
Prothesen
Totalprothesen
Mittels Totalprothesen können im Zahnlosen Kiefer die fehlenden Zähne einfach und ohne hohen finanziellen Aufwand ersetzt werden.
Teilprothesen
Sollten noch eigene Zähne vorhanden sein, könne die fehlenden Zähne mittels einer Teilprothese ohne grossen Aufwand ersetzt werden. Die herausnehmbare Teilprothese wird hierfür an den bestehenden Zähnen verankert.
Implantat getragene Prothesen
Bei schlechtem Halt und für eine bessere Kaufunktion können Prothesen auch auf zuvor gesetzte Implantate abgestützt werden. Diese Behandlung hilft auch wenn der Halt der Prothese sich bei einem zurückgebildeten Kieferkamm verschlechtert
Zahnkorrektur / Kieferorthopädie
Durchsichtige Zahnspangen
Kleinere Korrekturen vor allem der Frontzähne werden heute oft mit durchsichtigen Zahnspangen behandelt. Diese durchsichtigen Schienen werden den ganzen Tag getragen und sind kaum sichtbar. Darum gewinnen diese Zahnkorrekturen an immer mehr Beliebtheit.
Nachtspangen
Viele Zahn- und Kieferfehlstellungen können bei früher Erkennung erfolgreich mit herausnehmbaren Nachtspangen behandelt werden, solange sich die Kinder noch im Wachstum befinden. Das kann eine festsitzende Zahnspange überflüssig machen oder deren Tragedauer verkürzen.
Festsitzende Zahnspangen
Mit einer festsitzenden Zahnspange können die Zähne auch nach Abschluss des Wachstums bewegt werden und in die gewünschte Position gebracht werden.
Knirschschienen
Viele Menschen knirschen in der Nacht mit den Zähnen, dies kann zu einer übermässigen Abnutzung der Zähne, Kiefer- und Muskelbeschwerden und anderen Beschwerden führen. Um die Zähne und das Kiefergelenk zu schonen und die Beschwerden zu mildern ist die Anfertigung einer Knirschschiene meist ratsam.
Schnarchschienen
Schnarchen wird oft durch ein Zurückrutschen des Unterkiefers im Schlaf verursacht. Mittels einer Schnarchschiene kann der Unterkiefer in einer vorderen Position gehalten und so das Schnarchen reduziert werden. Die bessere Schlafqualität und die vermehrte Nasenatmung können die Kariesaktivität reduzieren und die Erholung begünstigen.
Sportschutzschienen
Bei vielen Sportarten besteht ein erhöhtes Risiko für die Verletzung der Zähne wie zum Beispiel Boxen, Mountain Bike oder Ice-Hockey. Um Ihren Zähnen einen bestmöglichen Schutz zu bieten, können Sie bei uns einen perfekt auf Ihre Zähne angepassten Zahnschutz anfertigen lassen.
Schulzahnmedizin / Kinderzahnmedizin
Als langjähriger Schulzahnarzt für sechs Schulgemeinden bieten wir Kontrolluntersuchungen und Behandlungen auch für die kleinen Patienten.